MetaCell
C21

MetaCell

The Software company for the life sciences

Start-up of Regione Autonoma Della Sardegna

Start-up

Via della Pineta 88/A,  88
cagliari  (ca) — 09126 — italia

Description

MetaCell’s mission is the creation of customized cloud software solutions for the global biotechnology market. MetaCell's advantage lies in the integration of know-how and know-what, enabling MetaCell to support its clients in the design, development, and distribution phases of innovative software products for the global biotechnology market. MetaCell serves pharmaceutical companies, research centers, and Biotech companies that require personalized cloud solutions to manage, analyze and visualize data, and/or reactive web applications to interact with their users.

Our products

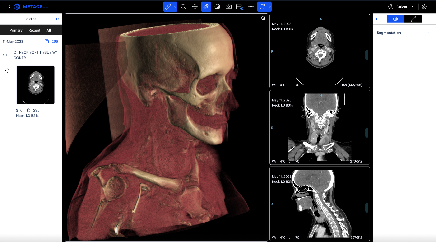
MetaCell Neuroglass cloud visualiser

MetaCell Neuroglass cloud visualiser

MetaCell Neuroglass is a cloud-native application for the visualization and analysis of two- and three-dimensional biomedical images. The strengths of Neuroglass, which make it a unique cloud application, are its ability to display images with different scales and formats and the integration of customizable analyses and automations leveraging artificial intelligence. Neuroglass can work with microscopy and MR/CT images, enabling data management and collaboration in a secure and user-friendly cloud environment. The integration with Ai allows the segmentation and identification (i.e., labeling) pipelines for molecular and/or anatomical structures, which can be customized by the user with their own data and annotations. The application ensures an acceleration of data management and analysis processes and targets the global market of clinics engaged in diagnostic imaging and biomedical research centers.
MetaCell, tailored software for the Life Sciences

MetaCell, tailored software for the Life Sciences

MetaCell offers design, development, and distribution services for custom cloud software for the life sciences. Our innovation lies in integrating software engineering know-how with expertise in various fields of biomedical research. The result is an agile consulting process for creating advanced cloud solutions capable of supporting all aspects of biomedical research, from data collection to big data analysis and visualization, as well as integration with AI pipelines. At the core of MetaCell applications are always a focus on design and user interactions, the stability, scalability, and security of the software architecture, and the accuracy of data analysis and visualizations. Our clients worldwide range from pharmaceutical industries to research centers to universities.

Our video